Melioidosis
Melioidosis is an infectious disease caused by a Gram-negative bacterium called Burkholderia pseudomallei.[1] Most people infected with B. pseudomallei experience no symptoms, but those who do experience symptoms have signs and symptoms that range from mild, such as fever, skin changes, pneumonia, and abscesses, to severe with inflammation of the brain, inflammation of the joints, and dangerously low blood pressure that causes death.[1] About 10% of people with melioidosis develop symptoms that last longer than two months, termed "chronic melioidosis".[1]
| Melioidosis | |
|---|---|
![]() | |
| Melioidosis abscess on the abdomen | |
| Specialty | Infectious diseases |
| Symptoms | None, fever, pneumonia, multiple abscesses[1] |
| Complications | Encephalomyelitis, septic shock, acute pyelonephritis, septic arthritis, osteomyelitis[1] |
| Usual onset | 1-21 days after exposure[1] |
| Causes | Burkholderia pseudomallei spread by contact to soil or water[1] |
| Risk factors | Diabetes mellitus, thalassaemia, alcoholism, chronic kidney disease[1] |
| Diagnostic method | Growing the bacteria in culture mediums[1] |
| Differential diagnosis | Tuberculosis[2] |
| Prevention | Prevention from exposure to contaminated water, antibiotic prophylaxis[1] |
| Treatment | Ceftazidime, meropenem, co-trimoxazole[1] |
| Frequency | 165,000 people per year[1] |
| Deaths | 89,000 people per year[1] |
Humans are infected with B. pseudomallei by contact with polluted water. The bacteria enter the body through wounds, inhalation, or ingestion. Person-to-person or animal-to-human transmission is extremely rare.[1] The infection is constantly present in Southeast Asia, particularly in northeast Thailand and northern Australia.[1] In developed countries, such as in Europe and the United States, cases of melioidosis are generally imported from countries where melioidosis is more common.[3] The signs and symptoms of melioidosis resemble tuberculosis and misdiagnosis is common.[4][2] Diagnosis is usually confirmed by the growth of B. pseudomallei from an infected person's blood or other bodily fluid.[1] Those with melioidosis are treated first with an "intensive phase" course of intravenous antibiotics (most commonly ceftazidime) followed by a several-month treatment course of co-trimoxazole.[1] Even if properly treated, around 10% of people with melioidosis die from it. If improperly treated, the death rate could reach 40%.[1]
Efforts to prevent melioidosis include wearing protective gear while handling contaminated water, practising hand hygiene, drinking boiled water, and avoiding direct contact with soil, water, or heavy rain.[1] The antibiotic co-trimoxazole is used as a preventive only for individuals at high risk for getting melioidosis after being exposed to the bacteria.[1] No vaccine for melioidosis has been approved.[1]
Roughly 165,000 people are infected by melioidosis per year, resulting in about 89,000 deaths.[1] Diabetes is a major risk factor for melioidosis; over half of melioidosis cases are in people with diabetes.[1] Increased rainfall is associated with increased number of melioidosis cases in endemic areas.[2] It was first described by Alfred Whitmore in 1912 in present-day Myanmar.[5]
Signs and symptoms
Acute




Exposure to Burkholderia pseudomallei may commonly cause antibodies to be produced against it without any symptoms. Of the patients who do develop clinical infection, 85% experience acute symptoms from a recent acquisition of the bacterium.[1][6][7] The mean incubation period of acute melioidosis is 9 days (range 1–21 days).[1] Nevertheless, symptoms of melioidosis can appear in 24 hours for those who are infected during a near drowning in contaminated water.[7] Those affected present with symptoms of sepsis (predominantly fever) with or without pneumonia, or localised abscess or other focus of infection. The presence of nonspecific signs and symptoms has caused melioidosis to be nicknamed "the great mimicker".[1]
People with diabetes mellitus or regular exposure to the bacteria are at increased risk of developing melioidosis. The disease should be considered in those staying in endemic areas who develop fever, pneumonia, or abscesses in their liver, spleen, prostate, or parotid glands.[1] The clinical manifestation of the disease can range from simple skin changes to severe organ problems.[1] Skin changes can be nonspecific abscesses or ulcerations.[8] In northern Australia, 60% of the infected children presented with only skin lesions, while 20% presented with pneumonia.[3] The commonest organs affected are liver, spleen, lungs, prostate, and kidneys. Among the most common clinical signs are presence of bacteria in blood (in 40 to 60% of cases), pneumonia (50%), and septic shock (20%).[1] People with only pneumonia may have a prominent cough with sputum and shortness of breath. However, those with septic shock together with pneumonia may have minimal coughing.[2] Results of a chest X-ray can range from diffuse nodular infiltrates in those with septic shock to progressive solidification of the lungs in the upper lobes for those with pneumonia only. Excess fluid in the pleural cavity and gathering of pus within a cavity are more common for melioidosis affecting lower lobes of the lungs.[2] In 10% of cases, people develop secondary pneumonia caused by other bacteria after the primary infection.[3]
Depending on the course of infection, other severe manifestations develop. About 1 to 5% of those infected develop inflammation of the brain and brain covering or collection of pus in the brain; 14 to 28% develop bacterial inflammation of the kidneys, kidney abscess or prostatic abscesses; 0 to 30% develop neck or salivary gland abscesses; 10 to 33% develop liver, spleen, or paraintestinal abscesses; 4 to 14% develop septic arthritis and osteomyelitis.[1] Rare manifestations include lymph node disease resembling tuberculosis,[9] mediastinal masses, collection of fluid in the heart covering,[3] abnormal dilatation of blood vessels due to infection,[1] and inflammation of the pancreas.[3] In Australia, up to 20% of infected males develop prostatic abscess characterized by pain during urination, difficulty in passing urine, and urinary retention requiring catheterisation.[1] Rectal examination shows inflammation of the prostate.[3] In Thailand, 30% of the infected children develop parotid abscesses.[1] Encephalomyelitis can occur in healthy people without risk factors. Those with melioidosis encephomyelitis tend to have normal computed tomography scans, but increased T2 signal by magnetic resonance imaging, extending to the brain stem and spinal cord. Clinical signs include: unilateral upper motor neuron limb weakness, cerebellar signs, and cranial nerve palsies (VI, VII nerve palsies and bulbar palsy). Some cases presented with flaccid paralysis alone.[3] In northern Australia, all melioidosis with encephalomyelitis cases had elevated white cells in the cerebrospinal fluid (CSF), mostly mononuclear cells with elevated CSF protein.[9]
Chronic
Chronic melioidosis is usually defined by symptoms lasting longer than two months, and occurs in about 10% of patients.[1] Clinical presentations include fever, weight loss, and productive cough with or without bloody sputum, which may mimic tuberculosis. Additionally, long-standing abscesses at multiple body sites may also present.[2] Tuberculosis should be considered if lymph nodes are enlarged at the root of the lung. Chronic melioidosis may present with cavitating pneumonia resembling chronic pulmonary tuberculosis.[10] Pneumonia caused by melioidosis rarely causes scarring and calcification of the lungs, unlike tuberculosis.[9]
Latent
In latent infection, immunocompetent people can clear the infection without showing any symptoms, but less than 5% of all melioidosis cases have activation after a period of latency.[1] Patients with latent melioidosis may be symptom-free for decades.[11] Initially, the longest period between presumed exposure and clinical presentation was thought to be 62 years in a Second World War prisoner of war in Burma-Thailand-Malaysia.[11] Subsequent genotyping of the bacterial isolate from said veteran, though, showed that the isolate may not have come from Southeast Asia, but from South America.[12] This reinstates another report that put the longest latency period for melioidosis as 29 years.[13] The potential for prolonged incubation was recognized in US servicemen involved in the Vietnam War, and was referred to as the "Vietnam time-bomb".[2][14] In Australia, the longest recorded latency period is 24 years.[3] Various comorbidities such as diabetes, renal failure, and alcoholism can predispose to reactivation of melioidosis.[2]
Cause
Bacteria

Melioidosis is caused by a Gram-negative, motile, saprophytic bacterium named Burkholderia pseudomallei.[1] The bacterium can also be an opportunistic, facultative intracellular pathogen.[1] It is also aerobic and oxidase test positive.[2] A vacuole at the centre of the bacterium makes it resemble a “safety pin” when Gram stained.[2] The bacteria emit a strong soil smell after 24 to 48 hours of growth in culture. B. pseudomallei produces a glycocalyx polysaccharide capsule that makes it resistant to many types of antibiotics.[15] It is generally resistant to gentamicin and colistin, but sensitive to amoxicillin/clavulanic acid (co-amoxiclav). B. pseudomallei is a biosafety level 3 pathogen, which requires specialized laboratory handling.[2] In animals, another similar organism named Burkholderia mallei is the causative agent of the disease glanders.[1] B. pseudomallei can be differentiated from another closely related, but less pathogenic species, B. thailandensis, by its ability to assimilate arabinose.[9] B. pseudomallei is highly adaptable to various host environments ranging from inside mycorrhizal fungi spores to amoebae.[2] Its adaptability may give it a survival advantage in the human body.[1]
The genome of B. pseudomallei consists of two replicons: chromosome 1 encodes housekeeping functions of the bacteria such as cell wall synthesis, mobility, and metabolism; chromosome 2 encodes functions that allow the bacteria to adapt to various environments. Horizontal gene transfer among bacteria has resulted in highly variable genomes in B. pseudomallei. Australia has been suggested as the early reservoir for B. pseudomallei because of the high genetic variability of the bacteria found in this region. Bacteria isolated from Africa and Central and South America seem to have a common ancestor that lived in the 17th to 19th centuries.[1] B. mallei is a clone of B. pseudomallei that has lost substantial portions of its genome as it adapted to live exclusively in mammals.[3]
Transmission
B. pseudomallei is normally found in soil and surface water, and is most abundant at soil depths of 10 cm to 90 cm.[1] It has been found in soils, ponds, streams, pools, stagnant water, and paddy rice fields.[2] It can survive in nutrient-poor conditions such as distilled water, desert soil, and nutrient-depleted soil for more than 16 years.[1] It can also survive in antiseptic and detergent solutions, acidic environments (pH 4.5 for 70 days), and environments at temperatures ranging from 24 to 32 °C (72 to 89.6 °F). The bacteria do not survive in the presence of ultraviolet light.[1]
Bacteria can enter the body through wounds, inhalation, and ingestion of polluted water.[1] Person-to-person transmission is extremely rare.[2] Melioidosis is a recognised disease in animals including cats, dogs, goats, sheep, and horses. Cattle, water buffalo, and crocodiles are considered to be relatively resistant to melioidosis despite their constant exposure to infected water and soil. Birds are also resistant to melioidosis.[9][15] Transmission from animals to humans is rare.[1][2]
Inadequate chlorination of water supply had been associated with B. pseudomallei outbreak in Northern and Western Australia. The bacteria have also been found in an unchlorinated water supply in rural Thailand. Irrigation fluid contaminated with B pseudomallei is associated with nosocomial wound infection in hospitals.[1] Based on the whole genome sequencing of the bacteria, humans may play a role in moving B. pseudomallei from place to place.[16] In October 2021, the US Centers for Disease Control and Prevention confirmed an outbreak in the United States, which was traced back to an aromatherapy spray produced in India.[17]
Pathogenesis

B. pseudomallei has the ability to infect various types of cells and to evade human immune responses. Bacteria first enter at a break in the skin or mucous membrane and replicate in the epithelial cells. From there, they use flagellar motility to spread and infect various cell types. In the bloodstream, the bacteria can infect both phagocytes and nonphagocytes. B. pseudomallei uses flagella to move near host cells, then attaches to the cells using various adhesion proteins, including the type IV pilus protein PilA and adhesion proteins BoaA and BoaB. Additionally, adhesion of the bacteria partially depends on the presence of the host protein protease-activated receptor-1, which is present on the surface of endothelial cells, platelets, and monocytes. Once bound, the bacteria enter host cells through endocytosis, ending up inside an endocytic vesicle. As the vesicle acidifies, B. pseudomallei uses its type 3 secretion system (T3SS) to inject effector proteins into the host cell, disrupting the vesicle and allowing the bacteria to escape into the host cytoplasm. Within the host cytoplasm, the bacteria evade being killed by the host autophagy using various T3SS effector proteins. The bacteria replicate in the host cytoplasm.[1][9]
Inside the host cell, the bacteria move by inducing the polymerization of the host actin behind them, propelling the bacteria forward.[1] This actin-mediated motility is accomplished with the autotransporter BimA, which interacts with actin at the tail-end of the bacterium. Propelled by actin, the bacteria push against the host membrane, creating protrusions that extend into neighbouring cells. These protrusions cause neighboring cells to fuse, leading to the formation of multinucleated giant cells (MNGCs). When MNGCs lyse, they form plaques (a central clear area with a ring of fused cells) that provide shelter for the bacteria for further replication or latent infection. This same process in infected neurons can allow bacteria to travel through nerve roots in the spinal cord and brain, leading to inflammation of the brain and spinal cord. Besides spreading from cell to cell, the bacteria can also spread through the bloodstream, causing sepsis. The bacteria can survive in antigen-presenting cells and dendritic cells. Thus, these cells act as vehicles that transport the bacteria into the lymphatic system, causing widespread dissemination of the bacteria in the human body.[1][9]
While B. pseudomallei can survive in phagocytic cells, these cells can kill B. pseudomallei by several mechanisms. Macrophages activated by interferon gamma have improved the killing of B. pseudomallei via the production of inducible nitric oxide synthase. Acidification of the endosome and degradation of the bacteria is also possible, however, the bacterial capsule and LPS makes B. pseudomallei resistant to lysosomal degradation. Once B. pseudomallei escapes into the host cytosol, it can be recognized by pattern recognition receptors such as NOD-like receptors, triggering the formation of the inflammasome and activation of caspase 1, which induces death of the host cell by pyroptosis and further activation of the immune system. Several systemic host defenses also contribute to the immune response. B. pseudomallei triggers both the complement system and coagulation cascade, however the thick bacterial capsule prevent the action of the complement membrane attack complex.[1][9]
Additional elements of the immune system are activated by the host toll-like receptors such as TLR2, TLR4, and TLR5 that recognize the conserved pieces of the bacteria such as LPS and flagella. This activation results in the production of cytokines such as interleukin 1 beta (IL-1β) and interleukin 18 (IL-18). IL-18 increases IFN production through natural killer cells, while IL-1beta reduces the IFN production. These immune molecules drive the recruitment of other immune cells such as neutrophils, dendritic cells, B cells, and T cells to the site of infection. T cells seem to be particularly important for controlling B. pseudomallei; T cell numbers are increased in survivors, and low T cell numbers are associated with a high risk of death from melioidosis. Despite this, HIV infection is not a risk factor for melioidosis. Although macrophages show deregulated cytokine responses in individuals with HIV infection, bacterial internalization and intracellular killing are still effective. People infected with B. pseudomallei develop antibodies against the bacteria, and people who live in endemic areas tend to have antibodies in their blood that recognize B. pseudomallei, but the effectiveness of these antibodies at preventing melioidosis is unclear.[1][9]
B. pseudomallei can remain latent in the human body from 19 to 29 years until it is reactivated during immunosuppression or stress response. The site of bacteria during latent infection and the mechanism by which they avoid immune recognition for years are both unclear. Amongst the mechanisms suggested are residing in the nucleus of the cell to prevent being digested, entering a stage of slower growth, antibiotic resistance, and genetic adaption to the host environment. Granulomas (containing neutrophils, macrophages, lymphocytes, and multinucleated giant cells) formed at the infection site in melioidosis have been associated with latent infection in humans.[1]
Diagnosis



Bacterial culture is the definitive diagnosis of melioidosis. B. pseudomallei is never part of human flora. Therefore, any growth of the bacteria is diagnostic of melioidosis. Blood cultures are the most common samples for diagnosis, as bacteria can be detected in the blood in 50 to 60% of melioidosis cases. Other samples, such as throat, rectal swabs, pus from abscesses, and sputum, can also be used for culture. When bacteria do not grow from people strongly suspected of having melioidosis, repeated cultures should be taken, as subsequent cultures can become positive.[1] B. pseudomallei can be grown on sheep blood agar, MacConkey agar, Ashdown's medium (containing gentamicin),[1] or Ashdown's broth (containing colistin).[3] Agar plates for melioidosis should be incubated at 37 °C (98.6 °F) in air [2] and inspected daily for four days. On the agar plates, B. pseudomallei forms creamy, nonhaemolytic, colonies after 2 days of incubation. After 4 days of incubation, colonies appear dry and wrinkled.[1] Colonies of B. pseudomallei that are grown on Francis medium (a modification of Ashdown medium with gentamicin concentration increased to 8 mg/l) are yellow. For laboratories located outside endemic areas, Burkholderia cepacia selective agar or Pseudomonas selective agar can be used if Ashdown's medium is not available.[2] It is important not misinterpret the bacterial growth as Pseudomonas or Bacillus spp. Other biochemical screening tools can also be used for detecting B. pseudomallei, including the API 20NE or 20E biochemical kit combined with Gram stain, oxidase test, typical growth characteristics, and resistance to certain antibiotics of the bacteria.[3] Molecular methods such as 16S rDNA probes and polymerase chain reaction can also be used to detect B. pseudomallei in culture, but they are only available in research and reference laboratories.[1]
General blood tests in people with melioidosis show low white blood cell counts (indicates infection), raised liver enzymes, increased bilirubin levels (indicates liver dysfunction), and raised urea and creatinine levels (indicates kidney dysfunction). Low blood glucose and acidosis predicts a poorer prognosis in those with melioidosis. However, other tests such as C-reactive protein and procalcitonin levels are not reliable in predicting the severity of melioidosis infection.[15]
By microscopy, B. pseudomallei is seen as Gram-negative and rod-shaped, with a bipolar staining similar in appearance to a safety pin. Bacteria can sometimes be seen directly in clinical samples from infected people, but identification by light microscopy is neither specific nor sensitive. Immunofluorescence microscopy is highly specific for detecting bacteria directly from clinical specimens, but has less than 50% sensitivity.[1][3] A lateral flow immunoassay has been developed but not extensively evaluated.[1][3] An increasing number of laboratories use Matrix-assisted laser desorption/ionization mass spectrometry to identify the bacteria accurately.[9]
Serological tests such as indirect haemagglutination have been used to detect the presence of antibodies against B. pseudomallei. Different groups of people, though, have widely different levels of antibodies, so interpretation of these tests depends on location. In Australia, less than 5% of people have B. pseudomallei antibodies, so the presence of even relatively low amounts of antibody is unusual and could suggest melioidosis. In Thailand, many people have antibodies against B. pseudomallei, so only a relatively high amount of antibody in the blood suggests melioidosis.[1][3] Thailand also uses direct immunofluorescent antibody test (IFAT) and latex agglutination. In IFAT, both B. pseudomallei antigen and B. thailandensis can be used to quantify the amount of antibodies produced against the bacteria. Therefore, the results have to be interpreted with caution as a false-positive reaction could be found if someone is previously exposed to nonpathogenic B. thailandensis.[2] Latex agglutination is useful in screening for suspected B. pseudomallei colonies.[1] Commercial ELISA kits for melioidosis are no longer available in the market due to low sensitivity to human antibodies detection.[9]
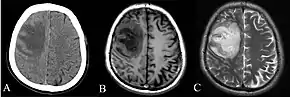
Various imaging modalities can also help with the diagnosis of melioidosis. In acute melioidosis with the spreading of the bacteria through the bloodstream, the chest X-ray shows multifocal nodular lesions. It may also show merging nodules or cavitations. For those with acute melioidosis without the spread to the bloodstream, chest X-ray shows upper-lobe consolidation or cavitations. In chronic melioidosis, the slow progression of upper-lobe consolidation of the lungs resembles tuberculosis. For abscesses located in other parts of the body apart from the lungs, especially in the liver and spleen, CT scan has higher sensitivity when compared with an ultrasound scan. In liver and splenic abscesses, an ultrasound scan shows "target-like" lesions, while CT scan shows "honeycomb sign" in liver abscesses. For melioidosis involving the brain, MRI has higher sensitivity than a CT scan in diagnosing the lesion. MRI shows ring-enhancing lesions for brain melioidosis.[9]
Prevention
Melioidosis is a notifiable disease in Australia. This enables the country to monitor disease burden and contain outbreaks. Melioidosis has only been a notifiable condition in Thailand since June 2016. Nevertheless, Australia also embarked on awareness campaigns to increase the community's understanding of the disease.[9] In the United States, lab workers can handle clinical specimens of B. pseudomallei under BSL-2 conditions, while mass production of such organisms requires BSL-3 precautions.[18] Also, several cases of hospital-acquired infection of melioidosis have been reported, so healthcare providers are recommended to practice hand hygiene and universal precautions.[1]
Large-scale water chlorination has been successful at reducing B. pseudomallei in the water in Australia. In middle to low-income countries, water should be boiled before consumption. In high-income countries, water could be treated with ultraviolet light for those at risk of contracting melioidosis. Those who are at high risk of contact with the bacteria should wear protective gear (such as boots and gloves) during work. Those staying in endemic areas should avoid direct contact with soil, and outdoor exposure to heavy rain or dust clouds. Bottled water or boiled water are preferred for drinking.[1]
Postexposure prophylaxis
After exposure to B. pseudomallei (particularly following a laboratory accident), treatment with co-trimoxazole is recommended. Alternatively, co-amoxiclav and doxycycline can be used for those who are intolerant to co-trimoxazole. Since co-trimoxazole can cause severe side effects, only high-risk individuals tend to receive such treatments. Low-risk individuals would receive frequent monitoring, instead.[1]
Vaccination
Several vaccine candidates have been tested in animal models. Nevertheless, no vaccine candidates have been tried in humans. Major hurdles of the vaccines are limited efficacy in animal models, establishing the best method of vaccine administration in humans, and logistical and financial issues in establishing human trials in endemic areas.[9]
Treatment
The treatment of melioidosis is divided into two stages, an intravenous intensive phase and an eradication phase to prevent recurrence. The choice of antibiotics depends upon the susceptibility of the bacteria to various antibiotics. B. pesudomallei is generally susceptible to ceftazidime, meropenem, imipenem, and co-amoxiclav. These drugs are designed to kill the bacteria. It is also susceptible to doxycycline, chloramphenicol, and co-trimoxazole. These drugs are designed to inhibit the growth of the bacteria. The bacteria are resistant to penicillin, ampicillin, first- and second-generation cephalosporin, gentamicin, streptomycin, tobramycin, macrolides, and polymyxins.[1] B. pseudomallei isolates from the region of Sarawak, Malaysia are susceptible to gentamicin, though.[1]
Intensive phase
Intravenous ceftazidime is the current drug of choice for treatment of acute melioidosis and should be administered for at least 10 days.[1] Meropenem, imipenem, and the cefoperazone-sulbactam combination (Sulperazone) are also effective.[1][19] Intravenous amoxicillin-clavulanate (co-amoxiclav) may be used if none of the above four drugs is available;[1] co-amoxiclav prevents death from melioidosis, as does ceftazidime.[7] Intravenous antibiotics are given for a minimum of 10 days. The median fever clearance time in melioidosis is 9 days.[1]
Meropenem is the preferred antibiotic therapy for neurological melioidosis and those with septic shock admitted into intensive care units. Co-trimoxazole is recommended for neurological melioidosis, osteomyelitis, septic arthritis, skin and gastrointestinal infection, and deeply seated abscess. For deep-seated infections such as abscesses of internal organs, osteomyelitis, septic arthritis, and neurological melioidosis, the duration of antibiotics given should be longer (up to 4 to 8 weeks). The time taken for fever to be resolved can be more than 10 days in those with deep-seated infection. Resistance to ceftazidime, carbapenems, and co-amoxiclav are rare in the intensive phase, but are more prominent during eradication therapy. No differences are seen between using cefoperazone/sulbactam or ceftazidime to treat melioidosis, as both show similar death rates and disease progression following treatment.[2] For those with kidney impairment, the dosage of ceftazidime, meropenem, and co-trimoxazole should be lowered.[3] Once the clinical condition improved, meropenem can be switched back to ceftazidime.[1] Whether the ceftazidime or meropenem combination therapy reduces relapse rates in early phase of the therapy is unclear.[20]
Eradication phase
Following the treatment of the acute disease, eradication (or maintenance) treatment with co-trimoxazole is the drug of choice and should be used for at least 3 months. For those with neurological melioidosis and osteomyelitis, drugs should be given for more than 6 months. Co-amoxiclav and doxycycline are drugs of second choice. Co-trimoxazole should not be used in those with glucose-6-phosphate dehydrogenase deficiency, as it can cause haemolytic anemia. Other side effects, such as rash, hyperkalemia, renal dysfunction, and gastrointestinal symptoms, should prompt the reduction of co-trimoxazole doses. Chloramphenicol is no longer routinely recommended for this purpose. Co-amoxiclav is an alternative for patients unable to take co-trimoxazole and doxycycline (e.g. pregnant women and children under the age of 12), but is not as effective and has higher relapse rate. Single-agent treatment with fluoroquinolone (e.g., ciprofloxacin) or doxycycline for the oral maintenance phase is ineffective.[1]
In Australia, co-trimoxazole is used in children and pregnant mothers after the first 12 weeks of pregnancy. Meanwhile, in Thailand, co-amoxiclav is the drug of choice for children and pregnant women. However, B. pseudomallei often acquires resistance when co-amoxiclav is used. Cases have also been reported where melioidosis is successfully treated with co-trimoxazole for 3 months without going through intensive therapy provided that only skin manifestations are seen without the involvement of internal organs or sepsis.[1] Resistance to cotrimoxazole is rare in Australia.[2]
Surgery
Surgical drainage is indicated for single, large abscesses in the liver, muscle, and prostate. However, for multiple abscesses in the liver, spleen, and kidney, surgical drainage may not be possible or necessary. For septic arthritis, arthrotomy washout and drainage is required. Surgical debridement may be necessary. For those with mycotic aneurysm, urgent surgery is required for prosthetic vascular grafts. Life-long therapy with co-trimoxazole may be needed for those with prosthetic vascular grafts. Other abscesses rarely need to be drained because the majority of them can resolve with antibiotic treatment.[1] In Australia, prostate abscess may require routine imaging and drainage.[15]
Others
Immunomodulating therapies such as granulocyte colony-stimulating factor,[9] Interleukin 7, and anti-PDI (programmed cell death) could be useful in melioidosis treatment, especially for those with septic shock. This is because these drugs could help to boost the human body immune function against the bacteria.[1]
Prognosis
In well-resourced settings, where the disease can be detected and treated early, the risk of death is 10%. In resource-poor settings, the risk of death from the disease is more than 40%.[1]
For those with incomplete treatment, reappearance of symptoms after a period of disease remission ("recrudescence") can occur. Then, hospital admission is needed for intravenous antibiotics. For those who have completed treatment successfully, recurrence can also occur due to recrudescence or new melioidosis infection. With better therapies, the recrudescence rate has reduced from 10 to 5%. The new infection is now more common than recrudescence. Risk factors of recrudescence include the severity of disease (patients with positive blood cultures or multifocal disease have a higher risk of relapse), choice of antibiotic for eradication therapy (doxycycline monotherapy and fluoroquinolone therapy are not as effective), poor compliance with eradication therapy and duration of eradication therapy less than 8 weeks.[1]
Underlying medical conditions such as diabetes mellitus, chronic kidney disease, and cancer can worsen the long-term survival and disability of those who recover from infection. The most severe complication of melioidosis is encephalomyelitis. It can cause quadriparesis (muscle weakness in all the limbs), partial flaccid paraparesis (muscle weakness of both legs), or foot drop. For those with previous melioidosis-associated bone and joint infections, complications such as sinus infection, bone and joint deformities with limited range of motion can occur.[1]
Epidemiology

Melioidosis is an understudied disease that remains endemic in developing countries. In 2015, the International Melioidosis Society was formed to raise awareness of the disease.[1] In 2016, a statistical model was developed which showed that the number is 165,000 cases per year with 138,000 of those occurring in East and South Asia and the Pacific.[21] In about half of those cases (54% or 89,000), people will die.[1] Under-reporting is a common problem as only 1,300 cases were reported worldwide since 2010, which is less than 1% of the projected incidence based on the modeling.[1] Lack of laboratory diagnostic capabilities and lack of disease awareness amongst health care providers also causes underdiagnosis. Even if bacterial cultures turn positive for B. pesudomallei, they can be discarded as contaminants especially in laboratories in non-endemic areas.[1] As of 2018, melioidosis is not included in the WHO list of neglected tropical diseases.[1]
Geography
Melioidosis is endemic in parts of Southeast Asia, including Thailand,[22] Laos,[23] Singapore,[24] Brunei,[25] Malaysia,[26] Myanmar[27] and Vietnam[28]), southern China,[29] Taiwan[30] and northern Australia.[31] Heavy rainfall can increase its extent into central Australia.[31] India,[32] and sporadic cases in South America.[33] A total of 51 cases of melioidosis were reported in Bangladesh from 1961–2017. Nonetheless, lack of awareness and resources gives rise to underdiagnosis of the disease in the country.[34] As of 2018, the true burden of melioidosis in Africa and Middle East remained unknown due to low amount of data. There were 24 African countries and three Middle Eastern countries predicted to be endemic with melioidosis, however not a single case was reported from them.[35] In Europe, more than half of the melioidosis cases are imported from Thailand.[36]
In the United States, two historical cases (1950 and 1971) and three recent cases (2010, 2011, 2013) were reported amongst people that did not travel overseas. Despite extensive investigations, the source of melioidosis was never confirmed. One possible explanation was infection through importation of medicinal plant products or exotic reptiles.[3] In 2021, four states each reported one case, of which two were fatal, among patients with no recent history of international travel; the US CDC found B. pseudomallei in a scented "room spray" in one patient's home.[37] The cluster, which occurred over a few months, was eventually traced to lavender and chamomile scented aromatherapy spray from Better Homes and Gardens imported from India. One case died of septic shock, another one died from disseminated melioidosis complicated by Covid-19 infection, the other two cases had a prolonged ICU stay with neurologic complications, septic arthritis and osteomyelitis.[38]
Age, risk factors
Melioidosis is found in all age groups.[1] For Australia and Thailand, the median age of infection is at 50 years; 5 to 10% of the patients are less than 15 years.[1] The single most important risk factor for developing melioidosis is diabetes mellitus, followed by hazardous alcohol use, chronic kidney disease, and chronic lung disease.[39] Greater than 50% of people with melioidosis have diabetes; diabetics have a 12-fold increased risk of contracting melioidosis. Diabetes decreases the ability of macrophages to fight the bacteria and reduces T helper cell production. Excessive release of tumor necrosis factor alpha and interleukin 12 by mononuclear cells increases the risk of septic shock. The diabetes drug glibenclamide can also blunt monocyte's inflammatory responses.[1] Other risk factors include thalassaemia, occupational exposure (e.g. rice paddy farmers),[9] recreational exposure to soil, water, being male, age greater than 45 years, and prolonged steroid use/immunosuppression,[1] but 8% of children and 20% of adults with melioidosis have no risk factors.[1] HIV infection does not predispose to melioidosis.[9] Infant cases have been reported possibly due to mother-to-child transmission, community-acquired infection, or healthcare-associated infection.[1] Those who are well may also be infected with B. pseudomallei. For example, 25% of children staying in endemic areas started producing antibodies against B. pseudomallei between 6 months and 4 years old, suggesting they were exposed to it over this time. This means that many people without symptoms will test positive in serology tests in endemic areas.[2] In Thailand, the seropositivity rate exceeds 50%, while in Australia, the seropositivity rate is only 5%.[3] The disease is clearly associated with increased rainfall, with the number of cases rising following increased precipitation. Severe rainfall increases the concentration of the bacteria in the topsoil, thus increasing the risk of transmitting the bacteria through the air.[9]
History
Pathologist Alfred Whitmore and his assistant Krishnaswami first reported melioidosis among beggars and morphine addicts at autopsy in Rangoon, present-day Myanmar, in a report published in 1912.[5] Arthur Conan Doyle may have read the 1912 report before writing a short story that involved the fictitious tropical disease "Tapanuli fever" in a Sherlock Holmes adventure.[40] In the 1913 story of “The Dying Detective”, Holmes received a box designed to inoculate the victim with “Tapanuli fever” upon opening. “Tapanuli fever” was thought by many to represent melioidosis.[15] The term “melioidosis” was first coined in 1921.[1] It was distinguished from glanders, a disease of humans and animals that is similar in presentation, but caused by a different micro-organism. B. pseudomallei, also known as the Whitmore bacillus, was identified in 1917 in Kuala Lumpur.[41] The first human case of melioidosis was reported in Sri Lanka in 1927.[1] In 1932, 83 cases were reported in South and Southeast Asia with 98% mortality.[1] In 1936, the first animal (sheep) case of melioidosis was reported in Madagascar, South Africa.[1] In 1937, soil and water were identified as the habitats of B. pseudomallei.[1] During the Vietnam War from 1967 to 1973, 343 American soldiers were reported with melioidosis, with about 50 cases transmitted through inhalation.[1] An outbreak of melioidosis at the Paris Zoo in the 1970s (known as L’affaire du jardin des plantes) was thought to have originated from an imported panda or horses from Iran.[15][42] The first evidence of B. pseudomallei (in soil) in Brazil was reported in 1983.[1]
Prior to 1989, the standard treatment for acute melioidosis was a three-drug combination of chloramphenicol, co-trimoxazole, and doxycycline; this regimen is associated with a mortality rate of 80% and is no longer used unless no other alternatives are available.[43] All three drugs are bacteriostatic (they stop the bacterium from growing, but do not kill it) and the action of co-trimoxazole antagonizes both chloramphenicol and doxycycline.[44] Aerosolised B. pseudomallei was first isolated in 1989.[1] In the same year, ceftazidime had been shown to reduce the risk of death of melioidosis from 74% to 37%.[1] B. pseudomallei was previously classified as part of the genus Pseudomonas until 1992.[45] In 1992, the pathogen was formally named B. pseudomallei.[1] The name melioidosis is derived from the Greek melis (μηλις) meaning "a distemper of asses" with the suffixes -oid meaning "similar to" and -osis meaning "a condition", that is, a condition similar to glanders.[45] In 2002, B. pseudomallei was classified as a "category B agent". A live attenuated vaccine was developed in mice in the same year. In 2003, multilocus sequence typing for B. pseudomallei was developed. In 2012, B pseudomallei was classified as a "tier-1 select agent" by the U.S. Centers for Disease Control. In 2014, co-trimoxazole was established as the oral eradication therapy. In 2015, B. pseudomallei DNA was detected in filtered air using quantitative PCR.[1] In 2016, a statistical model was developed to predict the occurrence of global melioidosis per year. In 2017, whole genome sequencing suggested Australia as the early reservoir for melioidosis.[1]
Synonyms
- Pseudoglanders[46]
- Whitmore's disease (after Captain Alfred Whitmore, who first described the disease)[5]
- Nightcliff gardener's disease (Nightcliff is a suburb of Darwin, Australia where melioidosis is endemic)[47]
- Paddy-field disease[48]
- Morphia injector's septicaemia[49]
Biological warfare
Interest in melioidosis has been expressed because it has the potential to be developed as a biological weapon. Another similar bacterium, B. mallei, was used by the Germans in World War I to infect livestock shipped to Allied countries.[19] Deliberate infection of human prisoners of war and animals using B. mallei were carried out in China's Pingfang District by the Japanese during World War II.[15] It has been alleged that the Soviet Union used B. mallei during the Soviet–Afghan War between 1982 and 1984.[19] B. pseudomallei, like B. mallei, was studied by both the US[50] and Soviet Union as a potential biological warfare agent, but never weaponized.[19] Other countries such as Iran, Iraq, North Korea, and Syria may have investigated the properties of B. pseudomallei for biological weapons. The bacterium is readily available in the environment and is cost-effective to produce. It can also be aerosolized and transmitted via inhalation. However, the B. pseudomallei has never been used in biological warfare.[2]
References
- Wiersinga WJ, Virk HS, Torres AG, Currie BJ, Peacock SJ, Dance DA, Limmathurotsakul D (February 2018). "Melioidosis". Nature Reviews. Disease Primers. 4 (17107): 17107. doi:10.1038/nrdp.2017.107. PMC 6456913. PMID 29388572.
- Foong YC, Tan M, Bradbury RS (30 October 2014). "Melioidosis: a review". Rural and Remote Health. 14 (4): 2763. PMID 25359677.
- Currie BJ (February 2015). "Melioidosis: evolving concepts in epidemiology, pathogenesis, and treatment". Seminars in Respiratory and Critical Care Medicine. 36 (1): 111–25. doi:10.1055/s-0034-1398389. PMID 25643275.
- Brightman, Christopher; Locum (2020). "Melioidosis: the Vietnamese time bomb". Trends in Urology & Men's Health. 11 (3): 30–32. doi:10.1002/tre.753. ISSN 2044-3749.
- Whitmore A, Krishnaswami CS (1912). "An account of the discovery of a hitherto undescribed infectious disease among the population of Rangoon". Indian Medical Gazette. 47: 262–267.
- Currie BJ, Ward L, Cheng AC (2010). "The epidemiology and clinical spectrum of melioidosis: 540 cases from the 20 year Darwin prospective study". PLOS Negl Trop Dis. 4 (11): e900. doi:10.1371/journal.pntd.0000900. PMC 2994918. PMID 21152057.
{{cite journal}}: CS1 maint: multiple names: authors list (link) - Bennett JE, Raphael D, Martin JB, Currie BJ (2015). "223". Mandell, Douglas, and Bennett's Principles and Practice of Infectious Diseases (Eighth ed.). Elsevier. pp. 2541–2549. ISBN 978-1-4557-4801-3.
- Fertitta L, Monsel G, Torresi J, Caumes E (February 2019). "Cutaneous melioidosis: a review of the literature". International Journal of Dermatology. 58 (2): 221–227. doi:10.1111/ijd.14167. hdl:11343/284394. PMID 30132827. S2CID 52056443.
- Gassiep I, Armstrong M, Norton R (March 2020). "Human Melioidosis". Clinical Microbiology Reviews. 33 (2). doi:10.1128/CMR.00006-19. PMC 7067580. PMID 32161067.
- Brightman, Christopher; Locum (2020). "Melioidosis: the Vietnamese time bomb". Trends in Urology & Men's Health. 11 (3): 30–32. doi:10.1002/tre.753. ISSN 2044-3749.
- Ngauy V, Lemeshev Y, Sadkowski L, Crawford G (February 2005). "Cutaneous melioidosis in a man who was taken as a prisoner of war by the Japanese during World War II". Journal of Clinical Microbiology. 43 (2): 970–2. doi:10.1128/JCM.43.2.970-972.2005. PMC 548040. PMID 15695721.
- Gee JE, Gulvik CA, Elrod MG, Batra D, Rowe LA, Sheth M, Hoffmaster AR (July 2017). "Phylogeography of Burkholderia pseudomallei Isolates, Western Hemisphere". Emerging Infectious Diseases. 23 (7): 1133–1138. doi:10.3201/eid2307.161978. PMC 5512505. PMID 28628442.
- Chodimella U, Hoppes WL, Whalen S, Ognibene AJ, Rutecki GW (May 1997). "Septicemia and suppuration in a Vietnam veteran". Hospital Practice. 32 (5): 219–21. doi:10.1080/21548331.1997.11443493. PMID 9153149.
- Brightman, Christopher; Locum (2020). "Melioidosis: the Vietnamese time bomb". Trends in Urology & Men's Health. 11 (3): 30–32. doi:10.1002/tre.753. ISSN 2044-3749.
- Cheng AC, Currie BJ (April 2005). "Melioidosis: epidemiology, pathophysiology, and management". Clinical Microbiology Reviews. 18 (2): 383–416. doi:10.1128/CMR.18.2.383-416.2005. PMC 1082802. PMID 15831829.
- Baker A, Pearson T, Price EP, Dale J, Keim P, Hornstra H, et al. (March 2011). "Molecular phylogeny of Burkholderia pseudomallei from a remote region of Papua New Guinea". PLOS ONE. 6 (3): e18343. Bibcode:2011PLoSO...618343B. doi:10.1371/journal.pone.0018343. PMC 3069084. PMID 21483841.

- "2021 Multistate outbreak of melioidosis | Melioidosis | CDC". www.cdc.gov. 2021-11-04. Retrieved 2021-11-08.
- Centers for Disease Control and Prevention (2009). Biosafety in Microbiological and Biomedical Laboratories (5th ed.). Atlanta, Georgia: National Institutes of Health.
- Nguyen HV, Smith ME, Hayoun MA (29 August 2021). "Glanders and Melioidosis". StatPearls. StatPearls Publishing. PMID 28846298. NBK448110.
- Samuel M, Ti TY, et al. (Cochrane Infectious Diseases Group) (2002-10-21). "Interventions for treating melioidosis". The Cochrane Database of Systematic Reviews (4): CD001263. doi:10.1002/14651858.CD001263. PMC 6532693. PMID 12519552.
- Limmathurotsakul D, Golding N, Dance DA, Messina JP, Pigott DM, Moyes CL, et al. (January 2016). "Burkholderia pseudomallei and burden of melioidosis". Nature Microbiology. 1 (1): 15008. doi:10.1038/nmicrobiol.2015.8. PMC 4746747. PMID 26877885.
- Hinjoy S, Hantrakun V, Kongyu S, Kaewrakmuk J, Wangrangsimakul T, Jitsuronk S, et al. (8 April 2018). "Melioidosis in Thailand: Present and Future". Tropical Medicine and Infectious Disease. 3 (2): 38. doi:10.3390/tropicalmed3020038. PMC 5928800. PMID 29725623.
- Dance DA, Luangraj M, Rattanavong S, Sithivong N, Vongnalaysane O, Vongsouvath M, Newton PN (February 2018). "Melioidosis in the Lao People's Democratic Republic". Tropical Medicine and Infectious Disease. 3 (1): 21. doi:10.3390/tropicalmed3010021. PMC 6136615. PMID 30274419.
- Sim SH, Ong CE, Gan YH, Wang D, Koh VW, Tan YK, et al. (March 2018). "Melioidosis in Singapore: Clinical, Veterinary, and Environmental Perspectives". Tropical Medicine and Infectious Disease. 3 (1): 31. doi:10.3390/tropicalmed3010031. PMC 6136607. PMID 30274428.
- Pande K, Abd Kadir KA, Asli R, Chong VH (February 2018). "Melioidosis in Brunei Darussalam". Tropical Medicine and Infectious Disease. 3 (1): 20. doi:10.3390/tropicalmed3010020. PMC 6136610. PMID 30274418.
- Nathan S, Chieng S, Kingsley PV, Mohan A, Podin Y, Ooi MH, et al. (February 2018). "Melioidosis in Malaysia: Incidence, Clinical Challenges, and Advances in Understanding Pathogenesis". Tropical Medicine and Infectious Disease. 3 (1): 25. doi:10.3390/tropicalmed3010025. PMC 6136604. PMID 30274422.
- Win MM, Ashley EA, Zin KN, Aung MT, Swe MM, Ling CL, et al. (March 2018). "Melioidosis in Myanmar". Tropical Medicine and Infectious Disease. 3 (1): 28. doi:10.3390/tropicalmed3010028. PMC 6136617. PMID 30274425.
- Trinh TT, Nguyen LD, Nguyen TV, Tran CX, Le AV, Nguyen HV, et al. (April 2018). "Melioidosis in Vietnam: Recently Improved Recognition but still an Uncertain Disease Burden after Almost a Century of Reporting". Tropical Medicine and Infectious Disease. 3 (2): 39. doi:10.3390/tropicalmed3020039. PMC 6073866. PMID 30274435.
- Zheng X, Xia Q, Xia L, Li W (February 2019). "Endemic Melioidosis in Southern China: Past and Present". Tropical Medicine and Infectious Disease. 4 (1): 39. doi:10.3390/tropicalmed4010039. PMC 6473618. PMID 30823573.
- Hsueh PT, Huang WT, Hsueh HK, Chen YL, Chen YS (February 2018). "Transmission Modes of Melioidosis in Taiwan". Tropical Medicine and Infectious Disease. 3 (1): 26. doi:10.3390/tropicalmed3010026. PMC 6136622. PMID 30274423.
- Smith S, Hanson J, Currie BJ (March 2018). "Melioidosis: An Australian Perspective". Tropical Medicine and Infectious Disease. 3 (1): 27. doi:10.3390/tropicalmed3010027. PMC 6136632. PMID 30274424.
- Mukhopadhyay C, Shaw T, Varghese GM, Dance DA (May 2018). "Melioidosis in South Asia (India, Nepal, Pakistan, Bhutan and Afghanistan)". Tropical Medicine and Infectious Disease. 3 (2): 51. doi:10.3390/tropicalmed3020051. PMC 6073985. PMID 30274447.
- Rolim DB, Lima RX, Ribeiro AK, Colares RM, Lima LD, Rodríguez-Morales AJ, et al. (June 2018). "Melioidosis in South America". Tropical Medicine and Infectious Disease. 3 (2): 60. doi:10.3390/tropicalmed3020060. PMC 6073846. PMID 30274456.
- Chowdhury FR, Jilani MS, Barai L, Rahman T, Saha MR, Amin MR, et al. (April 2018). "Melioidosis in Bangladesh: A Clinical and Epidemiological Analysis of Culture-Confirmed Cases". Tropical Medicine and Infectious Disease. 3 (2): 40. doi:10.3390/tropicalmed3020040. PMC 6073520. PMID 30274436.
- Steinmetz I, Wagner GE, Kanyala E, Sawadogo M, Soumeya H, Teferi M, et al. (June 2018). "Melioidosis in Africa: Time to Uncover the True Disease Load". Tropical Medicine and Infectious Disease. 3 (2): 62. doi:10.3390/tropicalmed3020062. PMC 6073667. PMID 30274458.
- Le Tohic S, Montana M, Koch L, Curti C, Vanelle P (August 2019). "A review of melioidosis cases imported into Europe". European Journal of Clinical Microbiology & Infectious Diseases. 38 (8): 1395–1408. doi:10.1007/s10096-019-03548-5. PMID 30949898. S2CID 96435767.
- Division of High-Consequence Pathogens and Pathology (October 22, 2021). "2021 Multistate outbreak of melioidosis". www.cdc.gov. Centers for Disease Control and Prevention, National Center for Emerging and Zoonotic Infectious Diseases. Archived from the original on 2021-10-23. Retrieved 2021-10-24.
- Gee, Jay E.; Bower, William A.; Kunkel, Amber; Petras, Julia; Gettings, Jenna; Bye, Maria; Firestone, Melanie; Elrod, Mindy G.; Liu, Lindy; Blaney, David D.; Zaldivar, Allison (2022-03-03). "Multistate Outbreak of Melioidosis Associated with Imported Aromatherapy Spray". New England Journal of Medicine. 386 (9): 861–868. doi:10.1056/NEJMoa2116130. ISSN 0028-4793.
- Suputtamongkol Y, Chaowagul W, Chetchotisakd P, Lertpatanasuwun N, Intaranongpai S, Ruchutrakool T, et al. (August 1999). "Risk factors for melioidosis and bacteremic melioidosis". Clinical Infectious Diseases. 29 (2): 408–13. doi:10.1086/520223. PMID 10476750.
- Vora SK (February 2002). "Sherlock Holmes and a biological weapon". Journal of the Royal Society of Medicine. 95 (2): 101–3. doi:10.1258/jrsm.95.2.101. PMC 1279324. PMID 11823558.
- Strong RP (1944). Stitt's Diagnosis, Prevention and Treatment of Tropical Diseases (7th ed.). Philadelphia: The Blakiston Company. p. 732.
- Mollaret HH (1988). ""L'affaire du Jardin des plantes" ou comment le mélioïdose fit son apparition en France". Médecine et Maladies Infectieuses. 18 (Suppl 4): 643–654. doi:10.1016/S0399-077X(88)80175-6.
- White NJ, Dance DA, Chaowagul W, Wattanagoon Y, Wuthiekanun V, Pitakwatchara N (September 1989). "Halving of mortality of severe melioidosis by ceftazidime". Lancet. 2 (8665): 697–701. doi:10.1016/S0140-6736(89)90768-X. PMID 2570956. S2CID 28919574.
- Dance DA, Wuthiekanun V, Chaowagul W, White NJ (September 1989). "Interactions in vitro between agents used to treat melioidosis". The Journal of Antimicrobial Chemotherapy. 24 (3): 311–6. doi:10.1093/jac/24.3.311. PMID 2681117.
- Stanton AT, Fletcher W (1921). "Melioidosis, a new disease of the tropics". Far Eastern Association of Tropical Medicine: Transactions of the Fourth Congress. Batavia, Dutch East Indies: Javasche Boekhandel en Drukkerij.
- Chai LY, Fisher D (August 2018). "Earth, wind, rain, and melioidosis". The Lancet. Planetary Health. 2 (8): e329–e330. doi:10.1016/S2542-5196(18)30165-7. PMID 30082045.
- Barker A (19 June 2005). "Rise in melioidosis rates in NT". Australian Broadcasting Corporation. Retrieved 2007-06-24.
- Orellana C (November 2004). "Melioidosis strikes Singapore". The Lancet. Infectious Diseases. 4 (11): 655. doi:10.1016/S1473-3099(04)01190-9. PMID 15534940.
- Krishnaswami CS. "Morphia injectors' septicaemia". Indian Medical Gazette. 52 (1917): 296–299.
- Withers MR, ed. (2014). USAMRIID's Medical Management of Biological Casualties Handbook (PDF) (8th ed.). Fort Detrick, Maryland: U.S. Army Medical Institute of Infectious Diseases. p. 53.
External links
| Wikimedia Commons has media related to Melioidosis. |
- Burkholderia pseudomallei genomes and related information at PATRIC, a Bioinformatics Resource Center funded by NIAID
- Monograph on Melioidosis (ISBN 978-0-444-53479-8); Elsevier Press, 2012, https://www.researchgate.net/publication/354857974_Monograph_Melioidosis-a-century-of-observation-and-research_ISBN_978-0-444-53479-8
