Urachal cancer
Urachal cancer is a very rare type of cancer arising from the urachus or its remnants.[1] The disease might arise from metaplasic glandular epithelium or embryonic epithelial remnants originating from the cloaca region.[2]
| Urachal cancer | |
|---|---|
![]() | |
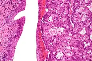
| Micrograph of urachal carcinoma (right of image) and non-malignant urothelium (left of image). H&E stain. | |
| Specialty | Oncology |
It occurs in roughly about one person per 1 million people per year varying on the geographical region.[3] Men are affected slightly more often than women mostly in the 5th decade of life but the disease can occur in also in other age groups.[4][5]
It can involve the urinary bladder, but is not bladder cancer in the usual sense. Urachal cancer can occur at any site along the urachal tract.
Urachal cancer was mentioned by Hue and Jacquin in 1863 followed by an elaborate work by T. Cullen in 1916 about diseases of the umbilicus, while C. Begg further characterized urachal cancer in the 1930s.[2][6] Detailed diagnostic and staging schemes were proposed by Sheldon et al in 1984, which remain widely used today.[1]
Classification
Urachal cancer usually is an adenocarcinoma (about 90%) mostly with mucinous/colloidal histology. Other rare types include urothelial carcinoma, squamous cell carcinoma, neuroendocrine carcinoma and sarcoma.[2][4][7][8]
Symptoms and Signs
Urachal cancer can exist for some years without any symptoms. The most frequent initial symptom is haematuria which occurs when the urachal tumour has penetrated the bladder wall, but mucinuria (mucin in the urine), local pain or swelling, recurrent local or urinary tract infections and umbilical discharge can (but is not always) be seen.[4][5]
Diagnosis
According to the American Urological Association, the diagnostic criteria are the following:[9]
- The location of the tumor is mostly at the bladder dome.
- No findings of cystitis glandularis on the bladder surface. These findings can be precursor lesions of a primary bladder adenocarcinoma.
- No history of a different primary adenocarcinoma with the same morphology.
Tissue for histological analysis is usually obtained via a transurethral resection of bladder tumor (TURBT).
Histopathological Diagnosis
According to the current version (4th ed.) of the WHO classification of Tumours of the Urinary System, the diagnosis of an urachal adenocarcinoma usually needs a location of the tumor in the bladder dome and/or anterior wall, epicenter of the tumor in the bladder wall, absence of widespread cystitis cystica and/or cystitis glandularis beyond the dome or anterior wall, and absence of another similar structured tumor as a primary tumor elsewhere in the body. A urachal remnant in association with the tumor can help with the diagnosis.[10][11][12][13] In addition, other diagnostic systems also for urachal carcinomas that are not adenocarcinomas have been proposed.[14]
Immunohistochemical stains are usually less helpful in the histopathological differential diagnosis of urachal adenocarcinomas.[15]
Imaging
CT and MRI scans are useful to evaluate local invasion and metastasis to lymph nodes and other parts of the body. Besides, in 32 to 46% of the cases, they show calcifications which is very suggestive of the disease.[16]
Treatment
Surgical management is en bloc resection of bladder, urachal remnant, and umbilicus.[9] In progressed stages, radiotherapy seems not to lead to sufficient response rates. However, chemotherapy regimes containing 5-FU (and Cisplatin) have been described to be useful in these cases.[4][17] In recent years, targeted therapies have been demonstrated to be useful in reports of single cases. These agents included Sunitinib,[18] Gefitinib,[19] Bevacizumab[20] and Cetuximab.[21]
Outcomes
The 5-year survival is estimated between 25 and 61%.[9] Worse prognostic factors include the presence of residual tumor at the margin of the resection specimen (R+), invasion of the peritoneum and metastatic disease.[4]
References
- Sheldon, C. A.; Clayman, R. V.; Gonzalez, R.; Williams, R. D.; Fraley, E. E. (1984-01-01). "Malignant urachal lesions". The Journal of Urology. 131 (1): 1–8. doi:10.1016/s0022-5347(17)50167-6. ISSN 0022-5347. PMID 6361280.
- Paner, Gladell P.; Lopez-Beltran, Antonio; Sirohi, Deepika; Amin, Mahul B. (2016-03-01). "Updates in the Pathologic Diagnosis and Classification of Epithelial Neoplasms of Urachal Origin". Advances in Anatomic Pathology. 23 (2): 71–83. doi:10.1097/PAP.0000000000000110. ISSN 1533-4031. PMID 26849813. S2CID 35894913.
- Bruins, H. Max; Visser, Otto; Ploeg, Martine; Hulsbergen-van de Kaa, Christina A.; Kiemeney, Lambertus A. L. M.; Witjes, J. Alfred (2012-10-01). "The clinical epidemiology of urachal carcinoma: results of a large, population based study". The Journal of Urology. 188 (4): 1102–1107. doi:10.1016/j.juro.2012.06.020. ISSN 1527-3792. PMID 22901574.
- Szarvas, Tibor; Módos, Orsolya; Niedworok, Christian; Reis, Henning; Szendröi, Attila; Szász, Marcell A.; Nyirády, Péter (2016-06-03). "Clinical, prognostic, and therapeutic aspects of urachal carcinoma-A comprehensive review with meta-analysis of 1,010 cases". Urologic Oncology. 34 (9): 388–398. doi:10.1016/j.urolonc.2016.04.012. ISSN 1873-2496. PMID 27267737.
- Behrendt, Mark A.; DE Jong, Jeroen; VAN Rhijn, Bas W. (2016-04-01). "Urachal cancer: contemporary review of the pathological, surgical, and prognostic aspects of this rare disease". Minerva Urologica e Nefrologica. 68 (2): 172–184. ISSN 0393-2249. PMID 26583595.
- Begg, RC (1931). "The colloid adenocarcinomata of the bladder vault arising from the epithelium of the urachal canal: with a critical survey of the tumours of the urachus". Br J Surg. 18 (71): 422–466. doi:10.1002/bjs.1800187108. S2CID 70712744.
- Wright, Jonathan L.; Porter, Michael P.; Li, Christopher I.; Lange, Paul H.; Lin, Daniel W. (2006-08-15). "Differences in survival among patients with urachal and nonurachal adenocarcinomas of the bladder". Cancer. 107 (4): 721–728. doi:10.1002/cncr.22059. ISSN 0008-543X. PMID 16826584.
- Reis, Henning; Krafft, Ulrich; Niedworok, Christian; Módos, Orsolya; Herold, Thomas; Behrendt, Mark; Al-Ahmadie, Hikmat; Hadaschik, Boris; Nyirady, Peter; Szarvas, Tibor (2018). "Biomarkers in Urachal Cancer and Adenocarcinomas in the Bladder: A Comprehensive Review Supplemented by Own Data". Disease Markers. 2018: 7308168. doi:10.1155/2018/7308168. ISSN 1875-8630. PMC 5867586. PMID 29721106.
- "Urachal Adenocarcinoma". AUAnet.org.
- Humphrey, Peter A.; Moch, Holger; Cubilla, Antonio L.; Ulbright, Thomas M.; Reuter, Victor E. (July 2016). "The 2016 WHO Classification of Tumours of the Urinary System and Male Genital Organs—Part B: Prostate and Bladder Tumours". European Urology. 70 (1): 106–119. doi:10.1016/j.eururo.2016.02.028. ISSN 0302-2838. PMID 26996659.
- Gopalan, Anuradha; Sharp, David S.; Fine, Samson W.; Tickoo, Satish K.; Herr, Harry W.; Reuter, Victor E.; Olgac, Semra (May 2009). "Urachal Carcinoma". American Journal of Surgical Pathology. 33 (5): 659–668. doi:10.1097/pas.0b013e31819aa4ae. ISSN 0147-5185. PMC 4225778. PMID 19252435.
- Herr, Harry W.; Bochner, Bernard H.; Sharp, David; Dalbagni, Guido; Reuter, Victor E. (July 2007). "Urachal Carcinoma: Contemporary Surgical Outcomes". Journal of Urology. 178 (1): 74–78. doi:10.1016/j.juro.2007.03.022. ISSN 0022-5347. PMID 17499279.
- Sheldon, Curtis A.; Clayman, Ralph V.; Gonzalez, Ricardo; Williams, Richard D.; Fraley, Elwin E. (January 1984). "Malignant Urachal Lesions". Journal of Urology. 131 (1): 1–8. doi:10.1016/s0022-5347(17)50167-6. ISSN 0022-5347. PMID 6361280.
- Paner, Gladell P.; Barkan, Güliz A.; Mehta, Vikas; Sirintrapun, Sahussapont Joseph; Tsuzuki, Toyonori; Sebo, Thomas J.; Jimenez, Rafael E. (March 2012). "Urachal carcinomas of the nonglandular type: salient features and considerations in pathologic diagnosis". The American Journal of Surgical Pathology. 36 (3): 432–442. doi:10.1097/PAS.0b013e31823fe49c. ISSN 1532-0979. PMID 22301493. S2CID 5277019.
- Reis, H.; Szarvas, T. (June 2019). "Urachal cancer-current concepts of a rare cancer". Der Pathologe. 40 (Suppl 1): 31–39. doi:10.1007/s00292-018-0516-9. ISSN 1432-1963. PMID 30895340. S2CID 84185828.
- Claps, Mélanie; Stellato, Marco; Zattarin, Emma; Mennitto, Alessia; Sepe, Pierangela; Guadalupi, Valentina; Mennitto, Roberta; de Braud, Filippo G.M.; Verzoni, Elena; Procopio, Giuseppe (January 2020). "Current Understanding of Urachal Adenocarcinoma and Management Strategy". Current Oncology Reports. 22 (1): 9. doi:10.1007/s11912-020-0878-z. ISSN 1523-3790. PMID 31989430. S2CID 210925794.
- Siefker-Radtke, Arlene (2012-10-01). "Urachal adenocarcinoma: a clinician's guide for treatment". Seminars in Oncology. 39 (5): 619–624. doi:10.1053/j.seminoncol.2012.08.011. ISSN 1532-8708. PMID 23040259.
- Testa, Isabella; Verzoni, Elena; Grassi, Paolo; Colecchia, Maurizio; Panzone, Filomena; Procopio, Giuseppe (2014-10-27). "Response to targeted therapy in urachal adenocarcinoma". Rare Tumors. 6 (4): 5529. doi:10.4081/rt.2014.5529. ISSN 2036-3605. PMC 4274441. PMID 25568747.
- Goss, G.; Hirte, H.; Miller, W. H.; Lorimer, I. a. J.; Stewart, D.; Batist, G.; Parolin, D. a. E.; Hanna, P.; Stafford, S. (2005-03-01). "A phase I study of oral ZD 1839 given daily in patients with solid tumors: IND.122, a study of the Investigational New Drug Program of the National Cancer Institute of Canada Clinical Trials Group". Investigational New Drugs. 23 (2): 147–155. doi:10.1007/s10637-005-5860-y. ISSN 0167-6997. PMID 15744591. S2CID 20979000.
- Kanamaru, Tomohiro; Iguchi, Taro; Yukimatsu, Nao; Shimizu, Yasuomi; Kohyama, Yuki; Tachibana, Hirokazu; Kato, Minoru; Yamasaki, Takeshi; Tamada, Satoshi (2015-03-01). "A Case of Metastatic Urachal Carcinoma Treated With FOLFIRI (irinotecan and 5-Fluorouracil/leucovorin) Plus Bevacizumab". Urology Case Reports. 3 (2): 9–11. doi:10.1016/j.eucr.2014.11.004. ISSN 2214-4420. PMC 4714276. PMID 26793485.
- Collazo-Lorduy, Ana; Castillo-Martin, Mireia; Wang, Li; Patel, Vaibhav; Iyer, Gopa; Jordan, Emmet; Al-Ahmadie, Hikmat; Leonard, Issa; Oh, William K. (2016-05-10). "Urachal Carcinoma Shares Genomic Alterations with Colorectal Carcinoma and May Respond to Epidermal Growth Factor Inhibition". European Urology. 70 (5): 771–775. doi:10.1016/j.eururo.2016.04.037. ISSN 1873-7560. PMC 5489411. PMID 27178450.
- Siefker-Radtke, Arlene O.; Gee, Jason; Shen, Yu; Wen, Sijin; Daliani, Danai; Millikan, Randall E.; Pisters, Louis L. (2003-04-01). "Multimodality management of urachal carcinoma: the M. D. Anderson Cancer Center experience". The Journal of Urology. 169 (4): 1295–1298. doi:10.1097/01.ju.0000054646.49381.01. ISSN 0022-5347. PMID 12629346.
External links
- Urachal cancer page from the National Institutes of Health
- Urachal cancer page from the European Association of Urology - Patient Information
- Urachal cancer page from urachal cancer researchers (UrachalCancer.org)

