Pellegrini–Stieda syndrome
Pellegrini–Stieda syndrome (also called Stieda disease and Köhler–Pellegrini–Stieda disease) refers to the ossification of the superior part of the medial collateral ligament of the knee. It is a common incidental finding on knee radiographs. It is named for the Italian surgeon A. Pellegrini (b. 1877) and the German surgeon A. Stieda (1869–1945).[1]
| Pellegrini–Stieda syndrome | |
|---|---|
![]() | |
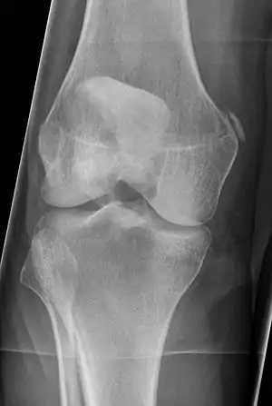
| Pellegrini-Stieda syndrome. Also visible is a fracture of the patella. |
References
- Mohammad Diab (1999). Lexicon of Orthopaedic Etymology. Taylor & Francis. p. 380. ISBN 9789057025976.
Further reading
- Altschuler, Eric L.; Bryce, Thomas N. (December 2006). "Images in clinical medicine. Pellegrini-Stieda syndrome". The New England Journal of Medicine. 354 (1): e1. doi:10.1056/NEJMicm040406. PMID 16394294.
- Wang, JC; Shapiro, MS (1995). "Pellegrini-Stieda syndrome". American Journal of Orthopedics. 24 (6): 493–7. PMID 7670873.
This article is issued from Wikipedia. The text is licensed under Creative Commons - Attribution - Sharealike. Additional terms may apply for the media files.
