Chorangioma
A chorangioma is a non-neoplastic, hamartoma-like growth in the placenta consisting of blood vessels.[1]
| Chorangioma | |
|---|---|
![]() | |
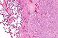
| Micrograph of a chorangioma (right of image). H&E stain. | |
| Specialty | Gynecology |
Signs and symptoms
Most chorangiomas are not clinically significant, i.e. they do not have an adverse effect on placental function.
The significance of a chorangioma is determined by its size and whether it is found together with other chorangiomas. Chorangiomas are significant if multiple or "large", i.e. greater than 4 cm[1] or 5 cm.[2]
Diagnosis
Large chorangiomas are diagnosed by ultrasound or MRI,[1] and confirmed by histologic examination of the placenta.
Histologically, chorangioma consist of abundant vascular channels and may be cellular.
Micrograph of a chorangioma (right of image) and normal placenta (left of image). H&E stain.
Treatment
Small chorangiomas are not treated. Large chorangioma can be treated several ways, including chemical ablation and laser coagulation.[1]
See also
References
- Amer HZ, Heller DS (2010). "Chorangioma and related vascular lesions of the placenta--a review". Fetal Pediatr Pathol. 29 (4): 199–206. doi:10.3109/15513815.2010.487009. PMID 20594143.
- Lež C, Fures R, Hrgovic Z, Belina S, Fajdic J, Münstedt K (2010). "Chorangioma placentae". Rare Tumors. 2 (4): e67. doi:10.4081/rt.2010.e67. PMC 3019602. PMID 21234259.
